Cabinet dentaire du Dr Pascal MONTHEAN
Chirurgien-Dentiste à Paris 8ème
Accueil
Le cabinet
Plan d'accès
Urgences
Vidéos
Soins, hygiène et pathologies
Traitement des gencives
Prothèses dentaires
Implants dentaires
Dentisterie esthétique
Fiches Conseils
Questionnaire pré-RDV
Contact
+33 1 40 76 08 70
8 rue Saint Philippe du Roule, 75008 PARIS
Accueil
Le cabinet
Plan d'accès
Urgences
Vidéos
Soins, hygiène et pathologies
Traitement des gencives
Prothèses dentaires
Implants dentaires
Dentisterie esthétique
Fiches Conseils
Questionnaire pré-RDV
Contact
Cabinet dentaire du Dr Pascal MONTHEAN
Chirurgien-Dentiste à Paris 8ème
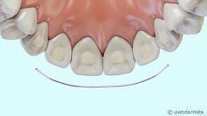
Fil de contention
Vidéos 3D
Partager
Twitter
Partager
Partager
Envoyer
Copier
Cabinet dentaire du Dr Pascal MONTHEAN
8 rue Saint Philippe du Roule
75008
PARIS
+33 1 40 76 08 70
Politique de confidentialité et charte cookie
Mentions légales
Conditions Générales Utilisation
Charte déontologique
Ordre national
Annuaires chirurgiens dentistes
Hygiène & Asepsie
Honoraire & remboursement
Création par
Connexion